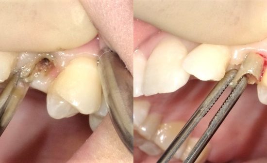
人工真皮のテルダーミス真皮欠損用グラフトを用いたインプラント周囲の角化歯肉の獲得
インプラント周囲には固有歯肉(角化歯肉)が存在する方が望ましい プラークの除去が用意になる(ブラッシング時の痛み軽減 軟組織退縮の防止 辺縁骨吸収の防止 周囲組織の炎症症状の低下・ Schrott AR …
インプラント周囲の角化組織(固有歯肉)は必要か?
【Q】インプラント周囲の角化組織(固有歯肉)は必要なのでしょうか?またどれくらいの幅が必要か教えてください。角化組織は存在したほうがよく、安定してインプラント周囲炎を惹起させないた…
リッジ(ソケット)プリザベーション
リッジ(ソケット)プリザベーションが大切である理由抜歯後の硬組織の吸収が大きく(抜歯後6ヶ月の平均吸収量は、水平的に3.79±0.23mm、垂直的に1.24±0.11mmであることが報告されています1)。抜歯後、インプラント治療…
インプラント周囲炎に対する非外科的治療
【Q】インプラント周囲炎に対する非外科的治療にはどのようなものがありますか?非外科的治療は、CIST(Cumulative Interceptive Supportive Therapy)で提唱されている療法で行う1)。すなはち、…
骨吸収により通常のインプラント埋入困難な症例への対処として骨造成以外の方法を教えてください。
【Q】骨吸収により通常のインプラント埋入困難な症例への対処として骨造成以外の方法を教えてください。骨造成以外の方法には、ショートインプラントの応用、カンチレバーの応用、傾斜埋入の応用などがあります。【ショートインプラ…
歯周病患者に対してインプラント治療はできるのか?
【Q】歯周病患者に対してインプラント治療はできるのか?歯周病患者に対してインプラント治療を行うことは可能だが、サポーティブセラピーが適切にそして十分に行われることが必要不可欠である。2つの論文を紹…
前歯部インプラント治療において、抜歯後いつインプラントを埋入することができますか?
【Q】前歯部インプラント治療において、抜歯後いつインプラントを埋入することができますか?上顎前歯部の唇側の骨は一般的に1mm以下と非常に薄く、抜歯後、唇側の骨はかなり垂直な骨吸収が起き、歯槽頂側の骨幅が狭くなります。このよう…
インプラントオーバーデンチャーの適応や本数や埋入部位などについて
【Q】インプラントオーバーデンチャー(Implant over denture)の適応、本数、埋入部位などについて教えてください。インプラントオーバーデンチャー(Implant over denture)におけるインプラント体埋入本…
インプラントのオッセオインテグレーション獲得時期と確認方法はどのようにされていますか?
【Q】インプラントのオッセオインテグレーション獲得時期と確認方法はどのようにされていますか?まず、オステオインテグレーションの定義に戻ってみる。“インテグレーション,骨結合,骨性結合 はBrånemark による造語である.現在では…
上顎洞底挙上術を伴うインプラント治療におけるトラブル
上顎洞底挙上術を伴うインプラント治療におけるトラブル、合併症、併発症は増加の傾向にある。その理由については不明であるが、下顎管の損傷はインプラントの埋入を浅くする、短いインプラントを選択するなどによって避けることができるが上顎洞手術に置ける…
上顎洞底挙上術で使用される人工骨ならびにメンブレンの選択はどのようにしていますか?
上顎洞底挙上術で使用される人工骨ならびにメンブレンの選択はどのようにしていますか?インプラント手術、そしてサイナスリフト、ソケットリフトなど上顎洞底挙上術を行う際に、以前は、自家骨をゴールデンスタンダードとして骨造成が行われてきたが、採…
上顎洞挙上術におけるサイナスリフトとソケットリフトの適応について
上顎洞挙上術におけるサイナスリフトとソケットリフトの適応について上顎洞に骨を填入してインプラント治療の適応を広める上顎洞底挙上術において、残存骨の量ならびに歯槽骨の状態、洞底の状態などの情報からサイナスリフトを適応するかソケットリフトを…
上顎洞底挙上術に関するQ&A
上顎洞底挙上術とは(上顎洞挙上術の定義)なんでしょうか?上顎洞底挙上術は、上顎洞が歯槽頂に近接している場合に、上顎洞粘膜と上顎洞底部骨の間にスペースを作り、そこに骨補填材を填入しインプラント体埋入に必要な骨組織を増大させる方法です。挙上…
サイナスリフト手術に関するQ&A
目次 ソケットリフトにおけるWater lift techniqueとOsteotome techniqueどちらが有効か? 上顎洞挙上術での同時埋入と異時埋入はどのように判断していますか? サイナスリフトにおける…
【手術動画】ソケットリフト術式 CASE.05
====================「ソケットリフトを伴うインプラント埋入手術 CASE.05」Guided Surgery for Implant treatment with Socket Lift CASE…
下顎多数歯欠損インプラント症例ケース02
右側下顎第2小臼歯ならびに第1大臼歯、左側第1、2小臼歯ならびに第1大臼歯の欠損症例 (50歳代 女性)左側の臼歯が欠損していたが入れ歯はいやなので入れずに放置していた。その後、他院で右側臼歯部の抜歯を行い、臼歯部で噛むことがで…
上顎抜歯即時インプラント症例ケース02
右側側切歯 歯根破折による抜歯即時症例(30歳代 男性)LANDmaker ver6.55 (iCAT) での解析 3DCTと模型の融合画面上でのアクセスホールの位置確認。既存歯牙の基底結節を意識して計画した。…
Osseointegration・オステオインテグレ-ションとは
Osseointegrationとは光学顕微鏡レベルでインプラント表面と骨組織間の結合を示す。酸化チタンの表面にタンパク質がつき、そこにコラーゲンが結びつくことで結合している状態を示す。オステオインテグレ-ションは1940年 Bot…
サイナスリフトにて骨造成したインプラント症例ケース04
サイナスリフト後の上顎臼歯部埋入症例(40歳代 男性)1年ほど前に、他院でサイナスリフトの手術を受けて、インプラント治療する予定であったが、その歯科医院が閉院してしまい、インプラント治療を希望して当クリニックを受診した患者さんで…
上顎無歯顎インプラント症例ケース01
上顎全欠損・無歯顎(40歳代 女性)他院で骨が足りないのでインプラント治療はできないと言われて当クリニックを受診した。All on 4は入れ歯をネジで固定する形になり、どこかが欠けるなどのトラブルがあったときに修理するのが大変で…
インプラント体について
1.チタンとチタン製インプラントの歴史インプラント体の骨への結合はチタン金属が重要な役目をする。そのチタンは壷に付いていた砂鉄からみつかった。チタンとチタン合金は歯科と整形外科で長い間使われてきた。チタンの優れた生体適合性は確認されてい…
下顎臼歯部少数歯欠損インプラント症例ケース03
右側下顎第1大臼歯、根尖性歯周病により保存不可と診断、抜歯後2か月での待機埋入症例 (30歳代 女性)右側第1大臼歯(#46)の動揺と排膿を認め,疲れると同部に有痛性の腫脹を生じるとのことであった。その時には、痛みで十分に咀嚼が…
ソケットリフトにて骨造成したインプラント症例ケース04
右側上顎第1大臼歯(#16) 欠損 (40歳代 女性)右側上顎第1大臼歯を他院で抜歯されたが同部のインプラント治療はできないと言われ、インプラント治療を希望して当クリニックを受診された。歯槽頂から上顎洞までの距離が少し足りないこ…
上顎臼歯部少数歯欠損インプラント症例ケース01
根破折による抜歯後待機埋入症例 (30歳代 女性)食事中、バキッという音とともに右側第一小臼歯部(#14)に痛みを覚え、差し歯が動揺したとのことで、当クリニックに来院。メタルコアの部分から動揺しており、容易に脱落し、残根状態であ…










PAGE TOP